货号.: AZ-r003
产品描述:
此细胞转染试剂盒基于细胞的胞吞作用,将DNA和转染试剂形成的复合物内化进入细胞。此细胞转染使用说明书适用于6孔板的转染,如果采用其它体系进行转染,请参照下表调整转染条件。可根据实验需要分别对细胞密度、DNA用量和转染试剂的量一一进行调整从而找出转染的最佳条件。
试剂盒成份
|
AZ-r003-50 (6孔板转染50孔) |
AZ-r003-100 (6孔板转染100孔) |
|
|
2X 转染缓冲液 |
5×1毫升 |
5×2毫升 |
|
转染试剂A |
0.6毫升 |
1.2毫升 |
|
转染试剂B |
0.25毫升 |
0.5毫升 |
|
对照载体 |
20微克 |
20微克 |
试剂盒保存于-20°C
标准调整表
| 培养体系 |
表面积 |
培养基体积(毫升) |
2X转染缓冲液A (微升) |
转染试剂A (微升) |
转染试剂B (微升) |
DNA (微克) |
|
24 孔板 |
1× |
0.5 |
20 |
2.4 |
1 |
1.8 |
|
12 孔板 |
2× |
1 |
40 |
4.8 |
2 |
3.5 |
|
6 孔板 |
5× |
2 |
100 |
12 |
5 |
7.5 |
|
35mm平皿 |
4× |
2 |
80 |
9.6 |
4 |
5 |
|
60mm平皿 |
10× |
5 |
200 |
12 |
10 |
13.5 |
|
100mm平皿 |
28× |
10 |
400 |
48 |
28 |
34 |
|
T25培养瓶 |
12× |
5 |
200 |
12 |
10 |
13.5 |
|
T75培养瓶 |
36× |
12 |
400 |
48 |
36 |
48 |
|
T150培养瓶 |
72× |
24 |
800 |
96 |
72 |
96 |
操作方案:
1. 制备转染级质粒
为了保证高转染效率,所用质粒需要高纯度且无内毒素。推荐采用无内毒素的质粒提取试剂盒制备。
2. 铺转染用细胞
转染前一天(约24小时),按照5×105/毫升铺细胞,每孔3毫升。细胞的汇合度需要达到50%-70%,细胞的存活率需要达到95%以上,否则转染效率会有所下降。
3. 制备转染复合物
制备转染复合物I: 准备两支2毫升离心管(最好使用圆底管,有利于液体混匀且不易溢出),分别标记为A和B。
离心管 A:

注意:DNA和转染试剂的总体积不要超过40微升。
离心管B: 2×转染缓冲液 100微升
将A管中液体逐滴加入B管中,边加边用涡旋振荡器轻轻振荡。这个过程一定要非常缓慢,大约需要2-3分钟,否则会影响转染复合物的形成。室温静置30分钟。这个过程中不能有明显的沉淀产生,否则转染效率会有明显的下降。
制备转染复合物II:
将2.5微克 DNA用200 微升预先在室温下预热到25°C -37°C 的Opti MEM 或磷酸盐缓冲液(pH6.8)稀释,混匀。加入5微升 转染试剂B,涡旋震荡器振荡三次,每次3秒。室温静置15分钟。
4. 将转染复合物加入细胞
将形成的两种复合物分别逐滴加入预先铺好的细胞的培养液中,边加边晃动培养板摇匀。继续在含有5% CO2、37°C的培养箱培养。转染后12小时更换成新鲜的培养基。
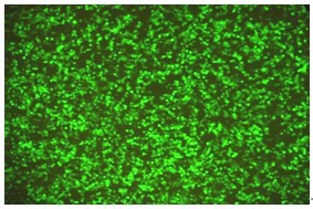
转染效率与 lipofectamine2000进行比较
普罗赛高效转染试剂盒 Lipofectamine 2000


