货号.: AZ-a001
产品描述:
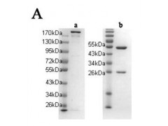
重组人源化抗VEGF单克隆抗体(Anti-VEGF)是人源化IgG类抗体,结合人血管内皮生长因子(human vascular endothelial growth factor A, VEGF-A),是一种在癌症等诸多疾病中刺激血管生成的信号蛋白。抗VEGF单克隆重组抗体是通过哺乳动物细胞系表达的,包含两条重链和两条轻链,理论分子量为150kDa。SDS-PAGE分析显示纯度>95% (图A)。ELISA实验EC50值为 65ng (图B)。
纯化方式: Protein A亲和层析
阳性对照: His-VEGF121 (AbZyme;货号:AZ-008)
产品所处溶液: 100mM Tris pH7.2
应用: ELISA 使用时进行最佳倍比稀释实验;WB 1000倍至2000倍稀释(其它应用未经测试)
活性: ELISA实验测定抗VEGF单克隆重组抗体的抗原结合能力 (图B)。
保存条件: 于-20℃长期保存,使用时避免反复冻融。
浓度: 1毫克/毫升

